Button Battery Ingestion X Ray . A halo sign or double ring sign can be seen which eludes towards the foreign. Suspect a button battery ingestion in every presumed coin or other foreign body ingestion. A foreign body is seen at the level of the cricopharyngeus. In case of multiple coin ingestion or unclear history from parent/patient, anteroposterior (ap) and lateral radiographs may both help in differentiating coins from button batteries. A metallic foreign body projects over the right upper abdomen. If there is a known bb ingestion, x‐ray should be obtained in all patients except. The evaluation and management of button and cylindrical battery ingestion will be presented here.
from adc.bmj.com
In case of multiple coin ingestion or unclear history from parent/patient, anteroposterior (ap) and lateral radiographs may both help in differentiating coins from button batteries. If there is a known bb ingestion, x‐ray should be obtained in all patients except. A halo sign or double ring sign can be seen which eludes towards the foreign. A foreign body is seen at the level of the cricopharyngeus. The evaluation and management of button and cylindrical battery ingestion will be presented here. Suspect a button battery ingestion in every presumed coin or other foreign body ingestion. A metallic foreign body projects over the right upper abdomen.
20 mm lithium button battery causing an oesophageal perforation in a
Button Battery Ingestion X Ray Suspect a button battery ingestion in every presumed coin or other foreign body ingestion. If there is a known bb ingestion, x‐ray should be obtained in all patients except. The evaluation and management of button and cylindrical battery ingestion will be presented here. A metallic foreign body projects over the right upper abdomen. A halo sign or double ring sign can be seen which eludes towards the foreign. A foreign body is seen at the level of the cricopharyngeus. Suspect a button battery ingestion in every presumed coin or other foreign body ingestion. In case of multiple coin ingestion or unclear history from parent/patient, anteroposterior (ap) and lateral radiographs may both help in differentiating coins from button batteries.
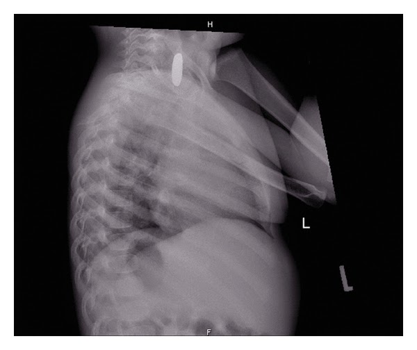
From step2.medbullets.com
Foreign Body Ingestion Pediatrics Medbullets Step 2/3 Button Battery Ingestion X Ray The evaluation and management of button and cylindrical battery ingestion will be presented here. A halo sign or double ring sign can be seen which eludes towards the foreign. A metallic foreign body projects over the right upper abdomen. Suspect a button battery ingestion in every presumed coin or other foreign body ingestion. A foreign body is seen at the. Button Battery Ingestion X Ray.
From gaya3ramblings.blogspot.com
Random Rambles Button battery vs coin ingestion Button Battery Ingestion X Ray A foreign body is seen at the level of the cricopharyngeus. If there is a known bb ingestion, x‐ray should be obtained in all patients except. Suspect a button battery ingestion in every presumed coin or other foreign body ingestion. A halo sign or double ring sign can be seen which eludes towards the foreign. The evaluation and management of. Button Battery Ingestion X Ray.
From www.apsf.org
Perioperative Management of Button Battery Ingestions in Children Button Battery Ingestion X Ray If there is a known bb ingestion, x‐ray should be obtained in all patients except. A halo sign or double ring sign can be seen which eludes towards the foreign. A metallic foreign body projects over the right upper abdomen. In case of multiple coin ingestion or unclear history from parent/patient, anteroposterior (ap) and lateral radiographs may both help in. Button Battery Ingestion X Ray.
From coreem.net
Button Battery Ingestion Core EM Button Battery Ingestion X Ray The evaluation and management of button and cylindrical battery ingestion will be presented here. In case of multiple coin ingestion or unclear history from parent/patient, anteroposterior (ap) and lateral radiographs may both help in differentiating coins from button batteries. Suspect a button battery ingestion in every presumed coin or other foreign body ingestion. A halo sign or double ring sign. Button Battery Ingestion X Ray.
From www.learningradiology.com
LearningRadiology battery, ingestion, aa, aaa, esophagus, caustic Button Battery Ingestion X Ray Suspect a button battery ingestion in every presumed coin or other foreign body ingestion. The evaluation and management of button and cylindrical battery ingestion will be presented here. A halo sign or double ring sign can be seen which eludes towards the foreign. In case of multiple coin ingestion or unclear history from parent/patient, anteroposterior (ap) and lateral radiographs may. Button Battery Ingestion X Ray.
From gaya3ramblings.blogspot.com
Random Rambles Button battery vs coin ingestion Button Battery Ingestion X Ray A foreign body is seen at the level of the cricopharyngeus. A metallic foreign body projects over the right upper abdomen. A halo sign or double ring sign can be seen which eludes towards the foreign. The evaluation and management of button and cylindrical battery ingestion will be presented here. Suspect a button battery ingestion in every presumed coin or. Button Battery Ingestion X Ray.
From www.nuemblog.com
Button Battery Ingestion — NUEM Blog Button Battery Ingestion X Ray The evaluation and management of button and cylindrical battery ingestion will be presented here. Suspect a button battery ingestion in every presumed coin or other foreign body ingestion. A halo sign or double ring sign can be seen which eludes towards the foreign. If there is a known bb ingestion, x‐ray should be obtained in all patients except. A metallic. Button Battery Ingestion X Ray.
From www.kidsacookin.org
Button Battery Dangers Internal Burns And Tissue Damage In Just Two Button Battery Ingestion X Ray A foreign body is seen at the level of the cricopharyngeus. A metallic foreign body projects over the right upper abdomen. In case of multiple coin ingestion or unclear history from parent/patient, anteroposterior (ap) and lateral radiographs may both help in differentiating coins from button batteries. The evaluation and management of button and cylindrical battery ingestion will be presented here.. Button Battery Ingestion X Ray.
From casereports.bmj.com
Ingestion of cylindrical batteries and its management BMJ Case Reports Button Battery Ingestion X Ray A foreign body is seen at the level of the cricopharyngeus. In case of multiple coin ingestion or unclear history from parent/patient, anteroposterior (ap) and lateral radiographs may both help in differentiating coins from button batteries. Suspect a button battery ingestion in every presumed coin or other foreign body ingestion. If there is a known bb ingestion, x‐ray should be. Button Battery Ingestion X Ray.
From casereports.bmj.com
Diagnosis of button battery ingestion by ‘halo’ radiographic sign an Button Battery Ingestion X Ray The evaluation and management of button and cylindrical battery ingestion will be presented here. Suspect a button battery ingestion in every presumed coin or other foreign body ingestion. If there is a known bb ingestion, x‐ray should be obtained in all patients except. A metallic foreign body projects over the right upper abdomen. A halo sign or double ring sign. Button Battery Ingestion X Ray.
From coreem.net
Button Battery Ingestion Core EM Button Battery Ingestion X Ray Suspect a button battery ingestion in every presumed coin or other foreign body ingestion. A foreign body is seen at the level of the cricopharyngeus. If there is a known bb ingestion, x‐ray should be obtained in all patients except. A halo sign or double ring sign can be seen which eludes towards the foreign. In case of multiple coin. Button Battery Ingestion X Ray.
From www.kenhub.com
Button battery ingestion Clinical Case, anatomy Kenhub Button Battery Ingestion X Ray A foreign body is seen at the level of the cricopharyngeus. Suspect a button battery ingestion in every presumed coin or other foreign body ingestion. The evaluation and management of button and cylindrical battery ingestion will be presented here. If there is a known bb ingestion, x‐ray should be obtained in all patients except. In case of multiple coin ingestion. Button Battery Ingestion X Ray.
From pedimom.com
Button Battery Ingestion In Children. What You Need To Know To Protect Button Battery Ingestion X Ray A foreign body is seen at the level of the cricopharyngeus. In case of multiple coin ingestion or unclear history from parent/patient, anteroposterior (ap) and lateral radiographs may both help in differentiating coins from button batteries. If there is a known bb ingestion, x‐ray should be obtained in all patients except. Suspect a button battery ingestion in every presumed coin. Button Battery Ingestion X Ray.
From www.cureus.com
Cureus Endoscopic Removal of Multiple Ingested Cylindrical Batteries Button Battery Ingestion X Ray In case of multiple coin ingestion or unclear history from parent/patient, anteroposterior (ap) and lateral radiographs may both help in differentiating coins from button batteries. If there is a known bb ingestion, x‐ray should be obtained in all patients except. The evaluation and management of button and cylindrical battery ingestion will be presented here. A foreign body is seen at. Button Battery Ingestion X Ray.
From rvdaily.com.au
The Dangers of Ingested Button Batteries RV Daily Button Battery Ingestion X Ray Suspect a button battery ingestion in every presumed coin or other foreign body ingestion. A halo sign or double ring sign can be seen which eludes towards the foreign. If there is a known bb ingestion, x‐ray should be obtained in all patients except. The evaluation and management of button and cylindrical battery ingestion will be presented here. A foreign. Button Battery Ingestion X Ray.
From www.louisvillelectures.org
It’s a Pill, It’s a Coin, It’s a…Button Battery — Louisville Lectures Button Battery Ingestion X Ray The evaluation and management of button and cylindrical battery ingestion will be presented here. In case of multiple coin ingestion or unclear history from parent/patient, anteroposterior (ap) and lateral radiographs may both help in differentiating coins from button batteries. A metallic foreign body projects over the right upper abdomen. If there is a known bb ingestion, x‐ray should be obtained. Button Battery Ingestion X Ray.
From www.mdpi.com
Pediatric Reports Free FullText Endoscopic Evaluation for Button Battery Ingestion X Ray A metallic foreign body projects over the right upper abdomen. In case of multiple coin ingestion or unclear history from parent/patient, anteroposterior (ap) and lateral radiographs may both help in differentiating coins from button batteries. A foreign body is seen at the level of the cricopharyngeus. Suspect a button battery ingestion in every presumed coin or other foreign body ingestion.. Button Battery Ingestion X Ray.
From www.mdpi.com
Children Free FullText A Rare Incidence of Neonatal Button Battery Button Battery Ingestion X Ray The evaluation and management of button and cylindrical battery ingestion will be presented here. In case of multiple coin ingestion or unclear history from parent/patient, anteroposterior (ap) and lateral radiographs may both help in differentiating coins from button batteries. Suspect a button battery ingestion in every presumed coin or other foreign body ingestion. A halo sign or double ring sign. Button Battery Ingestion X Ray.